OK, so 4gb63photo got me thinking with his nursing shots... I wonder if I can get shots of blood smears at work? Guess what?!? I can!!! When we have a patient with an abnormal complete blood count (CBC), we smear the blood on a slide, stain it, and look at it under the microscope. Sometimes we just look at how the cells appear. Other times we actually count certain cells to see what kind of percentage are present. It can help diagnose diseases from leukemia to malaria to vitamin deficiencies. In any case, these shots are of different white cells through our microscope set at oil immersion 100X. I just hand held the 40D to the eyepiece and focused using LiveView. I still must say I LOVE this camera!!
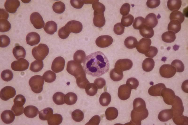
Segmented neutrophils are white blood cells (WBC's) that are basically the vacuum cleaners of our body. They consume dying cells and bacteria. These cells are often found in pus.
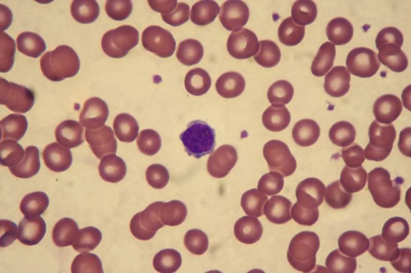
Lymphocytes help with our immune response. This is the white cell line that can be severely affected by HIV.
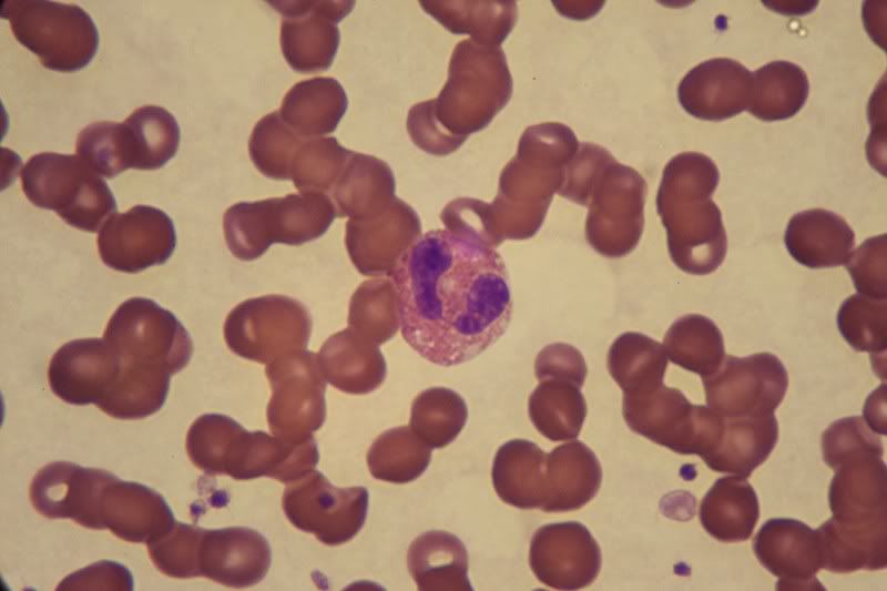
Eosinophils are relatively rare in the blood, and account for less than 10% of circulating WBC's. If many are found, then it can indicate an allergic reaction of some sort, or even in some cases, a parasitic worm load.
The red discs all over the rest of the fields are your red blood cells, and the little purple flecks are your platelets. WBC's are the only blood cells that have a nucleus. The red blood cells (RBC's) usually shed their nuclei before squeezing out of the bone marrow. Platelets are shed from basically a "mother" cell line and also are squeezed out of the marrow.



Horse eosinophils are pretty unique too
